Ba tháng đầu mang thai hay còn gọi là tam cá nguyệt thứ nhất được xem là giai đoạn quan trọng nhất. Lúc này bào thai mới bám vào tử cung còn rất yếu và nguy cơ xảy thai rất cao. Để nắm được các dấu hiệu thai phát triển tốt trong vòng 3 tháng đầu tiên, mẹ có thể dựa vào các triệu chứng ngay sau đây.
1, Mẹ luôn bị cảm giác khó tiêu và ợ nóng
Nếu trong các tháng đầu tiên khi mang thai hay bị đầy bụng, khó tiêu, ợ nóng thì mẹ đừng quá lo lắng nhé. Bởi đó là dấu hiệu chứng tỏ cơ thể đang có sự thay đổi nội tiết tố do sản sinh nhiều hormone, đồng thời cho thấy hormone trong thai kỳ vẫn hoạt động bình thường nên mới làm chậm quá trình tiêu hóa của mẹ. Đồng thời điều này cũng thể hiện các chất dinh dưỡng đang len lỏi vào cơ thể để hấp thụ tốt hơn cho bé.

Ợ nóng và khó tiêu là dấu hiệu thai nhi đang hấp thu dinh dưỡng tốt.
2, Cân nặng của mẹ vẫn tăng dần đều
Đây chính là một trong các dấu hiệu thai phát triển tốt 3 tháng đầu mà mẹ hoàn toàn có thể yên tâm nhé. Bởi việc tăng cân như vậy chứng tỏ chế độ dinh dưỡng và ăn uống của mẹ rất hợp lý, tăng cân đều đặn khoảng 0.5kg/tuần trong thời điểm tam cá nguyệt thứ nhất cho thấy em bé đang hấp thu các dinh dưỡng từ mẹ rất tốt, bé đang lớn lên từng ngày theo sự phát triển của mẹ. Thông thường trong quá trình mang bầu các mẹ nên tăng từ 12 – 15kg là thích hợp nhất để tránh mắc cao huyết áp và tiểu đường thai kỳ.
3, Xuất hiện các triệu chứng ốm nghén
Ốm nghén là dấu hiệu đặc trưng khi mang thai mà hầu hết mẹ nào cũng gặp phải. Mặc dù ốm nghén gây cho bạn cảm giác khó chịu, mệt mỏi nhưng hãy cứ an tâm bởi điều đó chính là dấu hiệu thai phát triển tốt trong 3 tháng đầu mẹ nhé! Thậm chí ốm nghén còn cho thấy mẹ đang bắt đầu một thai kỳ khỏe mạnh. Sở dĩ mẹ bị ốm nghén là bởi nồng độ hCG trong cơ thể tăng cao để cho thai nhi phát triển nên mới khiến mẹ khó chịu. Tuy nhiên chỉ sau 3 tháng là mẹ sẽ thấy dễ chịu hơn khi cơ thể đã quen với sự thay đổi này.
4, Hay bị đau nhức toàn cơ thể

Thai nhi phát triển và lớn dần sẽ gây đau nhức lưng cho mẹ.
Cảm giác mệt mỏi và đau nhức là các triệu chứng mà các mẹ bầu sẽ gặp phải khi mang bầu 3 tháng đầu. Mẹ có thể đau nhức ở lưng, bụng hoặc cột sống, tuy nhiên cảm giác đau này thường không quá dữ dội mà chỉ đang chứng tỏ em bé của mẹ đang lớn dần và là 1 trong các dấu hiệu thai nhi phát triển tốt nhé mẹ. Bởi lúc này kích thước tử cung sẽ tăng và thai nhi trong bụng sẽ đè lên các bộ phận ở trong cơ thể nên mới dẫn tới đau như vậy.
5, Mẹ bị căng tức ở ngực
Không phải ngẫu nhiên mà người ta nói quá trình mang thai là quá trình vất vả nhất của người mẹ. Bởi lúc này cơ thể thay đổi và mẹ sẽ gặp phải nhiều triệu chứng rất khó chịu, ví dụ như căng tức ngực. Hiện tượng này sẽ bắt đầu từ khi mẹ mang thai cho tới lúc sinh con và cho bú. Nhưng mẹ đừng quá lo lắng nhé bởi vì đó là dấu hiệu cho thấy cơ thể mẹ đang sản sinh nội tiết tố progesterone và cả estrogen để làm tăng ống tuyến sữa cũng như tiểu thùy cho thai nhi. Vì vậy tuy khó chịu nhưng lại là tín hiệu tốt.
6, Huyết áp và lượng đường trong máu ổn định
Nếu khi đi khám, bác sỹ thông báo lượng đường trong máu cũng như các chỉ số huyết áp của bạn ở mức ổn định thì hãy an tâm bởi đó là dấu hiệu thai phát triển tốt và khoẻ mạnh. Điều này cũng chứng tỏ chế độ ăn uống và sinh hoạt của mẹ lành mạnh, đảm bảo an toàn cho sức khoẻ của mẹ và bé, tránh bị tiểu đường thai kỳ và tránh xa được cả chứng tiền sản giật nguy hiểm, giúp mẹ an tâm sinh con.
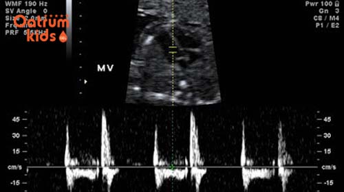
7, Nhịp tim của bé ở mức ổn định

Nhịp tim thai nhi dao động 120-160 nhịp/phút là bé đang phát triển tốt.
Theo dõi nhịp tim của trẻ cũng được xem là dấu hiệu cho thấy thai phát triển tốt. Hầu hết khi đi siêu âm các bác sỹ sẽ kiểm tra tim thai và cho mẹ nghe tim thai đầu tiên. Nhịp tim trung bình của bé sẽ dao động khoảng tầm 120 đến 160 nhịp đập/phút, nhịp tim này cũng có thể thay đổi theo từng giai đoạn, có khi 140 hay 150 nhưng nhìn chung là vẫn dao động khoảng 120-160 nhịp/phút. Do đó nếu em bé của bạn khi đi siêu âm mà luôn nằm trong ngưỡng này thì có thể an tâm con đang phát triển khoẻ mạnh nhé.
Giai đoạn 3 tháng đầu rất quan trọng, do đó để em bé phát triển tốt mẹ nhớ nghỉ ngơi đều đặn, tránh làm việc nặng và đi lại quá nhiều. Chú ý bổ sung ăn uống đầy đủ dưỡng chất, tập thể dục nhẹ nhàng, tránh sử dụng các chất kích thích và đi kiểm tra định kỳ.