Khi thai nhi 10 tuần tuổi là lúc mà hình dáng của con đã trở nên rõ rệt hơn, hầu hết các bộ phận cũng đã hình thành và phát triển. Lúc này ở bên trong cơ thể mẹ con yêu đã biết thực hiện một số các hoạt động nhưng vì còn quá bé nên mẹ vẫn chưa thể cảm nhận được. Để hiểu rõ hơn về sự phát triển của con trong giai đoạn này, các mẹ có thể tham khảo chia sẻ ngay sau đây, qua đó thêm hiểu rõ hơn để có dự định kiểm tra thai cho tốt.
Thai nhi 10 tuần tuổi phát triển như thế nào?
Theo các chuyên gia y tế thì khi thai được khoảng 10 tuần tuổi tức là lúc này kích thước của bé cũng đã lớn hơn trước, bé dài ra được khoảng 4cm và phát triển hầu như gần đầy đủ các bộ phận giống như của một người trưởng thành. Các mẹ có thể hình dung ra bé yêu trong giai đoạn này qua một số đặc điểm như sau:

Thai nhi 10 tuần tuổi đã bắt đầu sản xuất ra bạch cầu.
- Lúc này bé đã biết xoè bàn tay ra rồi nắm lại thành như nắm đấm, đồng thời móng tay cũng đã hình thành rõ ở trên đầu ngón tay và đầu ngón chân.
- Trán bé cũng đã bắt đầu phồng lên hơn cùng sự phát triển của bộ não
- Một số chồi răng nhỏ cũng đang bắt đầu xuất hiện ở bên dưới nướu, thậm chí là một số xương của con yêu cũng đang cứng lại hơn.
- Các cơ quan quan trọng như não bộ, thận, gan và ruột đang bắt đầu hoạt động tốt đúng theo đúng chức năng của chúng.
- Thời điểm thai nhi 10 tuần tuổi cũng là lúc mà tủy sống của bé sản sinh ra bạch cầu, chính bạch cầu này có khả năng tạo ra kháng thể cho bé sau này.
- Cũng ở tuần thai kỳ này thì con yêu của bạn đã có thể mút ngón tay cái, bé đưa ngón tay lên miệng rồi mút, tay xoè nắm nhiều hơn.
- Lông mi của bé cũng mọc dày hơn và đầy đôi mắt giúp cho mắt bé được bảo vệ an toàn
Thai nhi 10 tuần tuổi đã biết đạp chưa?
Thực tế thì trong các tuần trước bé đã vận động và cho tới tuần thứ 10 này các bé sẽ càng vận động mạnh hơn, nhiều hơn và vận động không ngừng. Lúc này các bé đã có thể thực hiện các động tác như trườn mình, đá, vặn mình, xoay người và đôi khi là đạp nhẹ.

Thai 10 tuần tuổi đã biết đạp và vặn mình.
Các động tác co duỗi của bé thường diễn ra nhẹ nhàng giống như múa ba lê. Tuy nhiên vì kích thước bào thai lúc này vẫn còn khá nhỏ nên chắc chắn là mẹ sẽ không cảm nhận được rõ rệt. Càng về sau khi thai lớn, những động tác này sẽ rõ rệt hơn nên mẹ sẽ cảm nhận rõ. Thậm chí bé còn nhào lộn trong một hoặc khi cơ hoành của bé hình thành thì bé sẽ xuất hiện các tiếng nấc phát ra trong bụng.
Cuộc sống của mẹ thay đổi thế nào khi thai nhi 10 tuần tuổi?
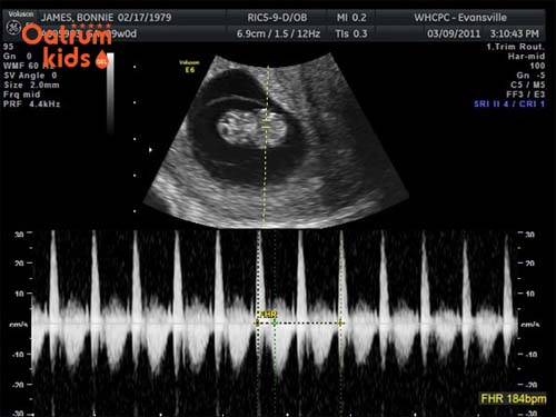
Không chỉ bé phát triển thay đổi mà mẹ cũng sẽ có những thay đổi nhất định theo từng giai đoạn của thai nhi. Khi thai nhi được 10 tuần tuổi thì mẹ đã có thể nghe rõ được nhịp tim của con thông qua các thiết bị siêu âm hiện đại.
Cũng ở thời điểm này thì vòng bụng cũng như vòng ngực của mẹ lớn hơn, vì thế khiến mẹ cảm thấy khó chịu nên cần phải chọn lựa những bộ quần áo rộng rãi hơn. Đồng thời cũng nên mua sắm quần áo bầu, chọn đi dép thấp để tạo cảm giác thoải mái hơn.Hormone thai nghén lúc này cũng gia tăng nhiều nên khiến mẹ ốm nghén nặng, mẹ luôn cảm thấy mệt mỏi, khó chịu trong người, thèm ngủ. Nhiều trường hợp mẹ bầu còn bị lưng khi mang thai, cảm giác nôn oẹ mỗi khi ngửi thấy mùi khó chịu.
Đồng thời cũng ở thời điểm này thì lưu lượng máu trong cơ thể cũng gia tăng nhiều hơn khiến mẹ trông có vẻ đầy đặn hơn, có nhiều mẹ da sẽ đẹp hơn nhưng cũng có người xấu đi. Sự thay đổi nội tiết tố còn khiến vùng da quanh đầu vú bị đậm màu hơn, xuất hiện các đốm nâu, kèm theo đó hình thành một đường sẫm màu chạy kéo dài từ rốn đến vùng bụng dưới, đường nâu này cũng sẽ mờ đi sau khi mẹ sinh.
Một số lưu ý khi thai nhi 10 tuần tuổi

Mẹ nên đi kiểm tra thai định kỳ theo chỉ dẫn của bác sỹ.
Mẹ nên đi khám thai định kỳ để chắc chắn rằng bé yêu phát triển tốt, cần làm một số xét nghiệm quan trọng do bác sỹ chỉ định. Đặc biệt khi đi khám nên yêu cầu bác sỹ cho mẹ nghe rõ nhịp tim của thai nhi, đảm bảo trong ngưỡng 110-160nhịp/phút.
Bên cạnh đó mẹ nhớ bổ sung đầy đủ các vitamin và vi chất cần thiết cho bé phát triển. Ví dụ như sắt, canxi, acid folic, magie, đạm…ăn uống đủ chất để con phát triển.
Mẹ cũng nhớ hạn chế quan hệ tình dục trong giai đoạn tam cá nguyệt thứ nhất này. Hạn chế vận động mạnh, đi lại ít, dành nhiều thời gian hơn nữa để nghỉ ngơi.